Вы используете мобильную версию

перейти на Полную версию сайта

Новые складчины | страница 28

  1. [Epifanov.school] Обучающий проект для массажистов №7 «01.21» (Антон Епифанов)

    4 окт 2021
    [​IMG]
    Что это:
    • Закрытый аккаунт в инстаграм, где каждую неделю доктор Епифанов разбирает новую тему: лекция в прямом эфире, образовательные посты, обратная связь
    • Дополнительные лекции от приглашенных лекторов-практиков
    • Разбираются темы разных уровней, от техники массажа, нозологий, до организации бизнеса
    Зачем я создал “Лекторий для массажистов Epifanov.school”?

    Со студенческих лет я занимался массажем, и, став врачом, ещё больше убедился в эффективности и важности этого метода лечения. Поэтому активно занимаюсь трансляцией медицинских знаний массажистам в своих роликах на ютубе и очных семинарах, но в таком формате невозможно охватить все темы, которыми хотелось бы поделиться с массажистами.

    В собственном проекте я имею возможность более структурировано и качественно давать информацию, приглашать дополнительных лекторов, давать обратную связь слушателям, учитывать их мнение в построении графика лекций.

    Epifanov.school - обучение для тех, кто серьезно настроен на собственное профессиональное развитие, кто доверяет моему опыту, мнению и готов к открытому конструктивному диалогу.

    Темы Января:
    -Физиология массажных приемов (Епифанов А.В.)
    -Практическое занятие повышающее эффективность основных массажных приёмов, сочетание различных техник - 2часть (Молостов В.)
    -АЦ массаж (Епифанов А.В.)
    -Тайский или йога массаж
    -Анализы крови и что с этим делать (Епифанов А.В.)
    -Спа техники (гармонизация, глубокая релаксация на основе испанских, гавайских и др. методик) (Молостов В.)
    -Работа с жесткостью мышц (Епифанов А.В.)
    -Физиотерапия - 1 часть
  2. [Epifanov.school] Обучающий проект для массажистов №8 «02.21» (Антон Епифанов)

    4 окт 2021
    [​IMG]
    Что это:
    • Закрытый аккаунт в инстаграм, где каждую неделю доктор Епифанов разбирает новую тему: лекция в прямом эфире, образовательные посты, обратная связь
    • Дополнительные лекции от приглашенных лекторов-практиков
    • Разбираются темы разных уровней, от техники массажа, нозологий, до организации бизнеса
    Зачем я создал “Лекторий для массажистов Epifanov.school”?

    Со студенческих лет я занимался массажем, и, став врачом, ещё больше убедился в эффективности и важности этого метода лечения. Поэтому активно занимаюсь трансляцией медицинских знаний массажистам в своих роликах на ютубе и очных семинарах, но в таком формате невозможно охватить все темы, которыми хотелось бы поделиться с массажистами.

    В собственном проекте я имею возможность более структурировано и качественно давать информацию, приглашать дополнительных лекторов, давать обратную связь слушателям, учитывать их мнение в построении графика лекций.

    Epifanov.school - обучение для тех, кто серьезно настроен на собственное профессиональное развитие, кто доверяет моему опыту, мнению и готов к открытому конструктивному диалогу.

    Темы Февраля:
    -Профилактические тренировки для массажистов (Епифанов А.В.) Желтый

    -Традиционная китайская медицина 1 часть (Архипов В.И.) Зеленый
    -О сервисе кабинета и оборудовании, температура, свет, звук, расходники, инструменты (Епифанов А.В.) Красный
    -Пелоид терапия (Лейдерман Н.Е.) Зеленый
    -Желтые флаги для массажиста (Епифанов А.В.) Желтый
    -Мягкие мышечный техники (Касаткин М.С.) Красный
    -Специальные приемы на подостную мышцу, подлопаточную, среднюю ягодичную, трапецию, подзатылочную область, околопозвоночные мышцы (Епифанов А.В.) Желтый
    -Ароматерапия (Молостов В.) Желтый
  3. [Epifanov.school] Обучающий проект для массажистов №9 «03.21» (Антон Епифанов)

    4 окт 2021
    [​IMG]
    Что это:
    • Закрытый аккаунт в инстаграм, где каждую неделю доктор Епифанов разбирает новую тему: лекция в прямом эфире, образовательные посты, обратная связь
    • Дополнительные лекции от приглашенных лекторов-практиков
    • Разбираются темы разных уровней, от техники массажа, нозологий, до организации бизнеса
    Зачем я создал “Лекторий для массажистов Epifanov.school”?

    Со студенческих лет я занимался массажем, и, став врачом, ещё больше убедился в эффективности и важности этого метода лечения. Поэтому активно занимаюсь трансляцией медицинских знаний массажистам в своих роликах на ютубе и очных семинарах, но в таком формате невозможно охватить все темы, которыми хотелось бы поделиться с массажистами.

    В собственном проекте я имею возможность более структурировано и качественно давать информацию, приглашать дополнительных лекторов, давать обратную связь слушателям, учитывать их мнение в построении графика лекций.

    Epifanov.school - обучение для тех, кто серьезно настроен на собственное профессиональное развитие, кто доверяет моему опыту, мнению и готов к открытому конструктивному диалогу.

    Темы Марта:
    - Пальпация позвоночника (Епифанов А.В.)⁣⁣⠀
    ⁣⁣ - Испанский массаж лица (Молостов В.)⁣⁣⠀
    ⁣⁣ - ТБС диагностика (Епифанов А.В.)⁣⁣⠀
    ⁣⁣ - Прямой эфир Ответы на вопросы (Епифанов А.В.)⁣⁣⠀
    ⁣⁣ - Телесно-ориентированная психотерапия (Положая З.Б.)⁣⁣⠀
    ⁣⁣ - УВТ - миллион рублей, который окупается (от техники работы до финансов и рекламы) (Епифанов А.В.)⁣⁣⠀
    ⁣⁣ - Электротерапия (Лейдерман)⁣⁣⠀
    ⁣⁣ - Работа со сложными мышцами, часть 2 (Епифанов А.В.)⁣⁣⠀
    ⁣⁣ - ЛФК на массажном столе (Андреев Александр)⁣⁣⠀
    ⁣⁣ - Прямой эфир Ответы на вопросы (Епифанов А.В.)
  4. [Epifanov.school] Обучающий проект для массажистов №14 «09.21» (Антон Епифанов)

    4 окт 2021
    [​IMG]
    Что это:
    • Закрытый аккаунт в инстаграм, где каждую неделю доктор Епифанов разбирает новую тему: лекция в прямом эфире, образовательные посты, обратная связь
    • Дополнительные лекции от приглашенных лекторов-практиков
    • Разбираются темы разных уровней, от техники массажа, нозологий, до организации бизнеса
    Зачем я создал “Лекторий для массажистов Epifanov.school”?

    Со студенческих лет я занимался массажем, и, став врачом, ещё больше убедился в эффективности и важности этого метода лечения. Поэтому активно занимаюсь трансляцией медицинских знаний массажистам в своих роликах на ютубе и очных семинарах, но в таком формате невозможно охватить все темы, которыми хотелось бы поделиться с массажистами.

    В собственном проекте я имею возможность более структурировано и качественно давать информацию, приглашать дополнительных лекторов, давать обратную связь слушателям, учитывать их мнение в построении графика лекций.

    Epifanov.school - обучение для тех, кто серьезно настроен на собственное профессиональное развитие, кто доверяет моему опыту, мнению и готов к открытому конструктивному диалогу.


    Темы сентября:

    - Дистрофия мышц - работа массажиста (Епифанов А.В.)
    - Глубокие и поверхностные мышцы (Епифанов А.В.)
    - Нестабильность шеи, боль в шее (Епифанов А.В.)
    - Бурситы (Епифанов А.В.)

  5. [Epifanov.school] Обучающий проект для массажистов №12 «06.21» (Антон Епифанов)

    4 окт 2021
    [​IMG]

    Что это:
    • Закрытый аккаунт в инстаграм, где каждую неделю доктор Епифанов разбирает новую тему: лекция в прямом эфире, образовательные посты, обратная связь
    • Дополнительные лекции от приглашенных лекторов-практиков
    • Разбираются темы разных уровней, от техники массажа, нозологий, до организации бизнеса
    Зачем я создал “Лекторий для массажистов Epifanov.school”?

    Со студенческих лет я занимался массажем, и, став врачом, ещё больше убедился в эффективности и важности этого метода лечения. Поэтому активно занимаюсь трансляцией медицинских знаний массажистам в своих роликах на ютубе и очных семинарах, но в таком формате невозможно охватить все темы, которыми хотелось бы поделиться с массажистами.

    В собственном проекте я имею возможность более структурировано и качественно давать информацию, приглашать дополнительных лекторов, давать обратную связь слушателям, учитывать их мнение в построении графика лекций.

    Epifanov.school - обучение для тех, кто серьезно настроен на собственное профессиональное развитие, кто доверяет моему опыту, мнению и готов к открытому конструктивному диалогу.

    Темы июня:

    - Как читать МРТ (Епифанов А.В.)
    - Карбокситерапия (Родькин В.И.)
    - Вдовий горбик (Епифанов А.В.)
    - Французский скульптурно-буккальный массаж лица (Молостов В.)
    - Сложный клиент (Епифанов А.В.)
    - Массаж при предстартовых состояниях у спортсменов (Тунин М.)
    - Разбор пациента (Епифанов А.В.)
    - Лимфодренажный массаж (Чертопятов А.)
    - Прямой эфир (ответы на вопросы) (Епифанов А.В.)
  6. [Epifanov.school] Обучающий проект для массажистов №11 «05.21» (Антон Епифанов)

    4 окт 2021
    [​IMG]
    Что это:
    • Закрытый аккаунт в инстаграм, где каждую неделю доктор Епифанов разбирает новую тему: лекция в прямом эфире, образовательные посты, обратная связь
    • Дополнительные лекции от приглашенных лекторов-практиков
    • Разбираются темы разных уровней, от техники массажа, нозологий, до организации бизнеса
    Зачем я создал “Лекторий для массажистов Epifanov.school”?

    Со студенческих лет я занимался массажем, и, став врачом, ещё больше убедился в эффективности и важности этого метода лечения. Поэтому активно занимаюсь трансляцией медицинских знаний массажистам в своих роликах на ютубе и очных семинарах, но в таком формате невозможно охватить все темы, которыми хотелось бы поделиться с массажистами.

    В собственном проекте я имею возможность более структурировано и качественно давать информацию, приглашать дополнительных лекторов, давать обратную связь слушателям, учитывать их мнение в построении графика лекций.

    Epifanov.school - обучение для тех, кто серьезно настроен на собственное профессиональное развитие, кто доверяет моему опыту, мнению и готов к открытому конструктивному диалогу.


    Темы мая:


    - Артикуляции всех суставов (Епифанов А.В.)
    - Реабилитация колена (Андреев А.)⁣⁣
    - Массаж при энтезитах (эпикондиллит) (Епифанов А.В.)
    - Баночный массаж (Чертопятов А.)
    - Массаж при онемении рук (Епифанов А.В)
    - Массаж беременных (Молостов В.)
    - Основные ПИРы (Епифанов А.В)
    - Как работают в клинике Ткачева-Епифанова с грыжевыми пациентами (Тунин М.)
  7. [Epifanov.school] Обучающий проект для массажистов №10 «04.21» (Антон Епифанов)

    4 окт 2021
    [​IMG]
    Что это:
    • Закрытый аккаунт в инстаграм, где каждую неделю доктор Епифанов разбирает новую тему: лекция в прямом эфире, образовательные посты, обратная связь
    • Дополнительные лекции от приглашенных лекторов-практиков
    • Разбираются темы разных уровней, от техники массажа, нозологий, до организации бизнеса
    Зачем я создал “Лекторий для массажистов Epifanov.school”?

    Со студенческих лет я занимался массажем, и, став врачом, ещё больше убедился в эффективности и важности этого метода лечения. Поэтому активно занимаюсь трансляцией медицинских знаний массажистам в своих роликах на ютубе и очных семинарах, но в таком формате невозможно охватить все темы, которыми хотелось бы поделиться с массажистами.

    В собственном проекте я имею возможность более структурировано и качественно давать информацию, приглашать дополнительных лекторов, давать обратную связь слушателям, учитывать их мнение в построении графика лекций.

    Epifanov.school - обучение для тех, кто серьезно настроен на собственное профессиональное развитие, кто доверяет моему опыту, мнению и готов к открытому конструктивному диалогу.

    Темы апреля:
    - Массаж стоп и головы (Молостов В.)
    - Боль между лопатками - программа работы (Епфанов А.В.)⁣⁣⠀
    ⁣⁣- Основные концепции реабилитации - Малиган, Маккензи, Боббат, PNF (Андреев А.)⁣⁣
    ⁣⁣- Работа с хронической болью в пояснице (Епифанов А.В.)⁣⁣⠀
    ⁣⁣- Когнитивно-поведенческая терапия (Положая З.Б.)⁣⁣⠀
    ⁣⁣- Работа с головной болью (Епифанов А.В.)⁣⁣⠀
    ⁣⁣- Спортивный массаж (Куценко И.)
    ⁣⁣- Работа с пожилыми пациентами (Епифанов А.В.)⁣⁣
    ⁣⁣- Прямой эфир Ответы на вопросы (Епифанов А.В.)
  8. Анатомия просто. Лицо (Елена Баранчикова)

    2 окт 2021
    [​IMG]

    Программа курса
    Кости грудной клетки, шеи и головы
    Роль костной структуры как опоры для мягких тканей. Основные костные ориентиры при выполнении массажа.
    Мышцы груди, спины, шеи
    Основные проблемы, связанные с этими зонами. Массажные приемы, необходимые для их устранения.
    Мышцы лица
    Жевательные и мимические мышцы. Особенности строения, функции и работа с каждой группой.
    Глубокие и поверхностные пакеты жировой ткани
    Роль жировой клетчатки, изменение в течение жизни, влияние на внешний вид.
    Кожа
    Строение, функции, особенности.
    Связки лица
    Истинные и ложные связки. Оценка степени подвижности мягких тканей лица. Фасции головы. SMAS.
    Сосудистая система головы и шеи
    Артериальные, венозные, лимфатические сосуды и лимфатические узлы. Строение, функции.
    Нервная система
    Роль нервной системы в организме. Иннервация лица. Ветви тройничного и лицевого нерва. Влияние массажа на НС.
    Завершающий блок
    Влияние всех анатомических структур друг на друга. Разбор лица по зонам. Изменения в каждой зоне и предпринимаемые меры.

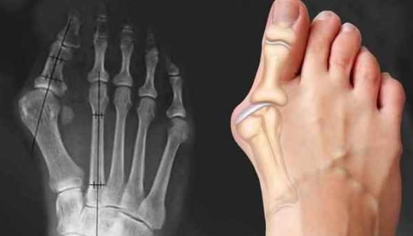
  9. Массаж при вальгусной деформации стопы (Александр Иванов)

    2 окт 2021
    [​IMG]
    Новый онлайн-курс по массажу при проблемах связанных с искривлением большого пальца стопы, образованием "шишки", "косточки" на ноге, плоскостопии и сопутствующих патологиях

    Для кого предназначен – для опытных специалистов массажа, начинающих массажистов для расширения массажного кругозора, для любителей массажа и мануальной терапии с целью оздоровления организма в домашних условиях.
    Автор курса - профессиональный массажист, автор методики Артикуляционно-рефлекторного массажа, Александр Иванов.

    Что Вам даст онлайн-курс:
    В ходе изучения материалов курса, Вы получите важные знания и навыки, которые в дальнейшем сможете использовать в своей массажной деятельности и для применения на себе и своих близких, а именно:
    - освоить анатомию и физиологию нижней конечности, ориентироваться в строении стопы и голени;
    - понимать особенности патологии и причины её возникновения и развития;
    - ориентироваться в наиболее важных зонах воздействия при проведении манипуляций;
    - освоить технику мягкого мануального массажа с использованием остеопатического подхода;
    - проводить самокоррекцию стопы при hallux valgus и плоскостопии с помощью специальных упражнений, или рекомендовать данный метод своим клиентам либо родным и друзьям;
    - освоить методику массажа при вальгусной деформации стопы. Придерживаясь методических рекомендаций проводить массаж на массируемом безопасно и эффективно.

    Программа курса
    Урок №1. Стопа человека. Анатомические особенности и ориентиры массируемой области
    Урок №2. Кости стопы и голени. Обоснованность манипуляций с костями и суставами при hallux valgus
    Урок №3. Нервы нижней конечности. Биомеханика периферических нервов, отражение на развитии патологии
    Урок №4. Система большого пальца стопы. Вальгусная деформация, механизм развития патологии, биомеханика
    Урок №5. Методика и техника массажа при вальгусной деформации большого пальца стопы. Протокол работы
    Урок №6. Самокоррекция стопы при вальгусной деформации и плоскостопии

  10. [Emnika] Висцеральная практика. Модуль 1 (Егор Москалёв)

    29 сен 2021
    [​IMG]

    СТРУКТУРА СЕМИНАРА: 1-й модуль

    1. Основные понятия(необходимый минимум)

    2. Кинезиологические иструменты:
    - ассоциативная мышца, мышца индикатор, независимый индикатор,
    - терапевтическая локализация, провокации, компьютер.

    3. Правила выполнения мышечного теста

    4. Мышцы шейного отдела позвоночника:
    - ГКС, короткие флексоры, короткие экстензоры, длинные экстензоры, лестничные мышцы.

    5. Мышцы плечевого сустава:
    - БГМ, дельтовидная мышца, надостная мышца, подостная мышца, большая и малая круглая мышца, подлопаточная мышца, широчайшая спины, двуглавая, трёхглавая плеча, клювоплечевая мышца.

    6. Мышцы лопаточно-рёберного сустава:
    - ромбовидные мышцы, малая грудная мышца, трапецевидная мышца, мышца поднимающая лопатку, зубчатая мышца.

    7. Мышцы тазобедренного сустава:
    - большая ягодичная. Среднеягодичная, малая ягодичная мышца, грушевидная мышца, напрягатель широкой фасции бедра, в том числе сложные для тестирования близнецовые, запирательные мышцы, квадратная мышца бедра, прямая мышца бедра, портняжная мышца, приводящие мышцы – большая приводящая, длинная приводящая, гребенчатая мышца, поясничная и подвздошная мышцы.

    8. Мышцы коленного сустава:
    - подколенная мышца, бицепс бедра, полусухожильная мышца, икроножные мышцы

    9. Мышцы голеностопного сустава:
    - камбалавидная, переднея большеберцовая, задняя больше берцовая, длинная/короткая малоберцовая мышца, третичная мышца.

    10. Ассоциативные висцеромоторные связи.

    В общей сложности 60 мышц /порций

    1. 6 ПРИЗНАКОВ НОРМОТОНИЧНОСТИ МЫШЦЫ.
    2. Ассоциативные и индикаторные мышцы. Общий принцип индикации.
    3. Поиск механических дисфункций в организме. Толчковые провокации (стимулы). Выбор приоритетно поражённых регионов.
    4. Одиночные, Двойные и тройные стимулы. Провокация рецепторов и проводящих путей.
    5. Изучение 12 основных меридианов тела человека и соответствующих им органов и мышцы.
    6. Плоскости тела (сагитальная, фронтальная, горизонтальная)
    7. Биомеханика.
    8. Крупные системы влияния (нервная, лимфатическая, кровеносная, дыхательная, энергетическая, Эндокринная)
    9. Основные Функциональные связи в организме: МЫШЦА - ЗУБ - ОРГАН/ЖЕЛЕЗА - ФБ.ПОЗВОНОК/КОСТЬ - НЛ/НВ - БАТ/МЕРИДИАН - ЭМОЦИЯ. Мифы и Реальность.
    10. Понимание анатомо-физиологических особенностей и связей для коррекции внутренних органов. Первичность и вторичность нарушений.
    11. Анатомия физиология дэнтальной системы.
    12. Рецепторные повреждения поиск и коррекция.
    13. Коррекция стабильности зубного аппарата, коррекция на твёрдость и мягкости пищи.
    14. Вкусовые анализаторы, диагностика коррекция.

  11. Базовый онлайн курс Инженерия тела. Тариф Базовый. Сентябрь 2021 (Светлана Афанасьева)

    26 сен 2021
    [​IMG]


    ‼️9 прямых эфиров, по 2 в неделю, в которых:⠀
    • 3-4 упражнения, каждый эфир новые, от простого к сложному;
    • подробное объяснение техники, возможных ошибок;
    • элементы Ручной Инженерии
    • каждый раз разбор 1 из 8 наболевших проблем: каковы их «скелетные» причины,
    какие упражнения нужны, на что акцент итд

    Темы:
    1. Шея-трапеция-верхнегрудной «загривок», дряблая кожа, шея вперёд.
    2. Грудная клетка: впалая, укорочённая, зажатая, неразвитая, боли грудного
    отдела позвоночника.
    3. Плечи: завернуты вперёд, застывшие приподнятыми, слишком покатые.
    4. Поясница-крестец: гиперлордоз, плоская поясница, боли
    5. Руки: объём и провисание вверху и подмышками.
    6. Ноги: форма бёдер, нависание кожи над коленями, боли в тазобедренных
    и коленных суставах.
    7. Стопы: вальгусная деформация, заваленная стопа
    8. Живот: форма и опущение внутренних органов
    9. Завершающий эфир: как подобрать себе инженерную индивид программу.

    - продолжительность курса 5 недель
  12. [Udemy] Эффективный антицеллюлитный массаж (Марина Власова)

    22 сен 2021
    [​IMG]

    Эффективный антицеллюлитный массаж
    С результатом после первой процедуры и без синяков

    Прежде чем создать собственную методику антицеллюлитного массажа я познакомилась с разными методиками.

    Эффект от них чаще накопительный.
    Уменьшение целлюлита заметно, как правило, к середине курса.
    Сами процедуры- болезненные и синяки- обычное явление.

    В конце концов, красота требует жертв и женщины на эти жертвы вынуждены идти.

    Подвергать своих клиентов таким сомнительным экспериментам я не хотела и решила подумать о том, как и какими техниками я могу добиться гарантированного и видимого результата после первого сеанса. Причем сделать это так, чтобы
    процедура была деликатной, комфортной и безопасной для здоровья женщины.
    Так родилась моя методика антицеллюлитного массажа с делением по зонам.
    Методика, которая дает видимый эффект уже после первой процедуры, а значит к вам будут возвращаться снова и снова чтобы пройти не один пробный сеанс, а несколько10-дневных курсов. Ведь эффект того стоит!

    На курсе вы узнаете:
    Из чего состоит процедура антицеллюлитного массажа
    Зонирование и поэтапная проработка каждой проблемной зоны
    Тайминг процедуры. Количество и периодичность сеансов
    Режим питания и питьевой режим во время курса антицеллюлитного массажа
    Массажные масла для антицеллюлитного массажа
    Противопоказания и особенности работы с пациентами с видимой сосудистой сеткой
    Как делать фото до и после, чтобы видеть результаты своей работы.
    Особенности женской физиологии в подборе массажных техник для похудения и усиления эффективности массажа
    Особенности работы с пациентами с лишним весом
    Особенности работы со спортсменками
    Режим спортивных нагрузок и общей активности для усиления эффекта массажа. Какие дать рекомендации клиенту в время прохождения курса антицеллюлитного массажа?

    Также вас ждут практические видеоуроки:
    I. Приступаем к массажу
    Быстрый разогрев тканей и мышц с помощью приемов классического массажа
    лимфодренаж
    использование веса тела при массаже
    II. Вакуумный (баночный) массаж
    баночный массаж. Задняя поверхность бедра
    баночный массаж. Зона ягодиц и поясницы
    баночный массаж. Передняя поверхность бедер
    III. Техника антицеллюлитного массажа
    5 основных приемов антицеллюлитного массажа для выравнивания кожи
    IV. Медовый массаж
    горячий компресс перед процедурой
    основные приемы антицеллюлитного медового массажа
    особенности проведения медового массажа: разогрев тканей, техника безопасности во время массажа, чтобы не допустить синяков, учет самочувствия клиента во время процедуры.

  13. Кинезиотейпирование в практической вертебрологии (Игорь Атрощенко, Резеда Хакимзянова)

    18 сен 2021
    [​IMG]

    НОВЫЙ ИНТЕНСИВ В ПРЯМОМ ЭФИРЕ
    Прикладное обучение для массажистов, мануальных терапевтов и фитнес-тренеров

    КИНЕЗИОТЕЙПИРОВАНИЕ В ПРАКТИЧЕСКОЙ ВЕРТЕБРОЛОГИИ
    Интенсив стартует 18 сентября 2021 года

    Ведущие интенсива:
    - Игорь Атрощенко - врач-невролог, мануальный терапевт.
    - Резеда Хакимзянова - прикладной кинезиолог, фитнес-эксперт, преподаватель многих ВУЗов страны.

    За время своей практической и преподавательской деятельности Резеда помогла нескольким тысячам пациентов...

    Среди них много спортсменов, и кстати в их числе

    ЗОЛОТАЯ МЕДАЛИСТКА ОЛИМПИАДЫ В ТОКИО 2021 Лилия Азимова.
    И практически на каждом своём сеансе Резеда использует техники кинезиотейпирования.

    На сегодняшнем интенсиве вас ждёт выжимка огромного профессионального опыта Резеды Хакимзяновой в реабилитации спортсменов и в восстановлении здоровья пациентов с помощью техник кинезиотейпирования.

    Как будет проходить интенсив?
    В ПРЯМОМ ЭФИРЕ Резеда будет принимать пациентов с самыми разными проблемами в шейном, в грудном, в поясничном отделах позвоночника, пациентов со сколиозами и с дисфункциями таза...

    Мы и сами не знаем, кто конкретно придёт и с какими конкретно проблемами.

    Тем интереснее, так ведь?!
    Зато точно знаем, что каждому пациенту можно здорово помочь одними лишь техниками кинезиотейпирования.
    И вы также можете перенять эти навыки от одного из лучших профессионалов страны.
    Программа интенсива:
    • Техники кинезиотейпирования для устранения болей в шейном отделе позвоночника, болей в затылке, для лечения синдрома позвоночной артерии, а также специфические техники лечения сутулой осанки по типу "остановленного падения назад".
    • Группа техник кинезиотейпирования для устранения "холки" ("вдовьего горба)", для устранения сдавления спинного мозга в среднешейном отделе позвоночника, для стабилизации шейного отдела позвоночника, для устранения сдавления корешков спинного мозговых нервов шейного отдела позвоночника.
    • Способы кинезиотейпирования для проработки мышечно-фасциальных причин головных болей в висках, головных болей во лбу и болей в шейном отделе позвоночника при поворотах головы.
    • Методы кинезиотейпирования для лечения "прострелов в пояснице", а также проработка первопричин разной длины ног у пациентов.
    • Техники № 1 для кинезиотейпирования пациентов с грыжами и протрузиями в поясничном отделе позвоночника.
    • Стабилизирующая коррекция поясничного отдела позвоночника.
    • Техники экстренной помощи пациентам, когда "вообще ничего не помогает"
    • Как быстро помочь пациенту, который "устал ходить кривым" и просит вас сделать так, чтобы его плечи вновь оказались на одном уровне?
    • Что делать, когда пациент пришел к вам на приём с жалобой на ощущение "кола между лопатками"?
    • Лечение С-образного сколиоза техниками кинезиотейпирования
    • Лечение S-образного сколиоза техниками кинезиотейпирования
    • Как прорабатывать сверхплотный мышечный валик, который образуется у пациентов со сколиозами?
    • Стабилизация таза техниками кинезиотейпирования.
  14. Комплексная терапия миофасциального болевого синдрома. Тариф Самостоятельный (Фидель Субботин)

    16 сен 2021
    [​IMG]
    Функциональная диагностика, мануальная терапия, тейпирование и ЛФК в лечении миофасциального болевого синдрома.

    Цель курса научить Вас выходить на первопричину появления миофасциального синдрома и мягко устранять ее, закрепляя результаты лечения на длительный срок с помощью тейпирования и ЛФК.

    Чему вы научитесь:
    - Выявлять истинную причину развития МФБС;
    - Убирать боль и возвращать полноту движения пораженной мышцы;
    - Сохранять результаты лечения на длительный срок.

    Что такое миофасциальный болевой синдром

    Теория диагностики и терапии МФБС, причины развития патологии, триггерные точки и основы тейпирования МФБС


    С 20 сен.


    Головная и лицевая боль

    Диагностика и лечение головной боли, боли в ушах, боли в области глаз, боли височно-нижнечелюстного сустава и области щеки и челюсти


    С 20 сен.


    Болевые синдромы верхнего квадранта

    Диагностика и лечение боли в шее, боли и напряжения воротниковой зоны, боли в области плеча, кисти и локтевого сустава


    С 20 окт.


    Болевые синдромы нижнего квадранта

    Диагностика и лечение боли в пояснице и ноге, боли в крестце, боли в области тазобедренного и коленного суставов


    С 20 нояб.


    Бонусные уроки ЛФК

    Несколько эффективных комплексов упражнений ЛФК для закрепления результатов лечения МФБС


    С 20 нояб.

  15. Висцеральный самомассаж. Плоский живот. Тариф «Углубленный» (Этель Аданье)

    15 сен 2021
    [​IMG]
    Выпирающий животик… У-у-у-х!
    Даже если наша фигура нас устраивает, именно живот нам всегда хочется «убрать»!

    И начинается активное качание пресса или усиленные диеты в надежде «сжечь», как нам кажется, выпирающий жирок!
    Однако живот не уходит, как бы мы ни старались, а иногда все эти наши старания приводят только к усилению проблемы!

    И если параллельно с наличием выпирания живота у вас:

    Частое несварение;
    Сложности с опорожнением кишечника;
    Ощущение тяжести в желудке после еды;
    Запоры.
    И тем более если есть:

    Варикозное расширение вен ног;
    Отеки;
    Недержание мочи при смехе, кашле, чихании, поднятии тяжестей;
    Частые позывы помочиться;
    Частые воспаления (цистит, воспаление матки и придатков).
    !!! ТО ПОРА БИТЬ ТРЕВОГУ !!!

    К сожалению, выпирающий живот — это вовсе не лишний жир! Это признак серьёзного нарушения в организме - опущения внутренних органов!

    Желудок и поджелудочная железа, печень и кишечник, матка с придатками и мочевой пузырь держатся внутри брюшной полости на особых связках. Спереди их поддерживают мышцы передней брюшной стенки, а снизу - мышцы тазового дна.

    Со временем все эти три поддерживающих компонента растягиваются и ослабевают!

    И мы получаем не только неэстетичный внешний вид (выпирающий живот), но и массу сложностей со здоровьем и плохое самочувствие!

    И если нам более или менее понятно, как укрепляются мышцы (хотя и тут бывают осложнения, если есть диастаз или шрам от кесарева сечения), то как укрепить связки?

    ‍Нам способен помочь специальный Висцеральный массаж!

    Правильное воздействие комбинацией массажных и укрепляющих движений поможет буквально на глазах подтянуть живот - без изнурительных диет и бесконечного качания пресса!

    А также он способен:
    Улучшить пищеварение;
    Избавить от неприятной тяжести в животе после еды;
    Наладить регулярное опорожнение кишечника;
    Облегчить менструации!

    И самое главное! Вы забудете про:
    Варикозное расширение вен ног;
    Недержание мочи при смехе, кашле, чихании, поднятии тяжестей;
    Частые позывы к мочеиспусканию;
    Частые воспаления (цистит, воспаление матки и придатков);
    Отеки и тяжесть в ногах!
    Неужели на такое способен обычный массаж живота?

    Да! Ведь он запускает первое звено цепи самовосстановления органов и помогает им нормализовать свои функции!
    Узнать все секреты висцерального самомассажа Вы сможете на новом Мастер-классе "Висцеральный самомассаж. Плоский живот!"
Наверх